Захворювання тканин пародонту належать до найпоширеніших стоматологічних захворювань. Їх поширеність та інтенсивність зростає. Все частіше захворювання пародонта уражають дітей та підлітків. Це зумовлює необхідність грамотної профілактики цих захворювань. Згідно із сучасним уявленням захворювання пародонту являють собою специфічний процес, який виникає внаслідок взаємодії різних факторів. Характеризується постійним руйнуванням комплексу тканин пародонту з подальшим випадінням зубів. Тому перш ніж розпочати лікування, для кожного хворого необхідно скласти його індивідуальний (максимально персоніфікований) план комплексної терапії – місцевої і загальної. При цьому враховуються особливості клінічного прояву хвороби у конкретного пацієнта, наявність фонової патології, можливості та суворі показання до призначення медикаментозного лікування. Профілактика захворювань пародонту є вельми складним завданням і є частиною стоматологічної профілактики, направленої на оздоровлення організму в цілому. Вона є комплексом заходів, направлених на підвищення стійкості всього організму і тканин пародонту, зокрема до дії несприятливих чинників і попередження виникнення несприятливої ситуації в порожнині рота.
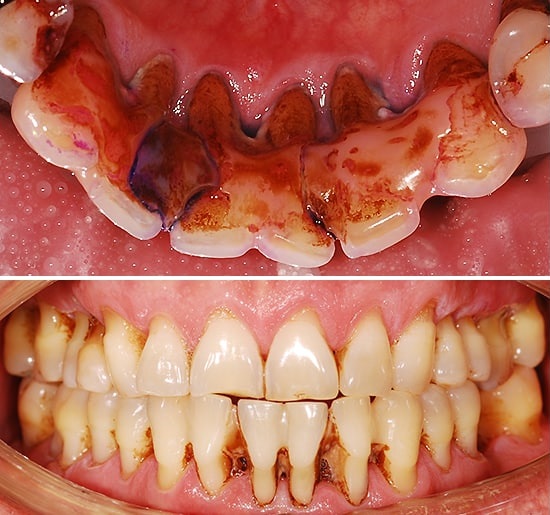
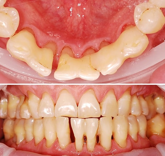
До процедури

Після процедури
